Education
Ogni anno proponiamo un' ampia gamma di corsi di formazione, molti dei quali accreditati E.C.M.
Il successo dei nostri corsi è dovuto anche alla professionalità e all’eccellente preparazione dei nostri docenti, appartenenti al mondo Accademico e a quello privato e sanitario.
La passione per l'eccellenza nell'ambito della formazione fa si che il nostro impegno non sia solamente un lavoro ma un vero e proprio obiettivo.
01 Scegli
Scegli il corso formativo di tuo interesse, tra i quelli pubblicati di seguito.
02 Contattaci
Compila il form di richiesta.
Verrai ricontattato per ulteriori informazioni.
03 Su misura per te
Non trovi il corso che fa per Te, contattaci organizeremo un Tutoring Projet adatto alla tua richiesta.
Stefani Academy
CICLO SERATE CULTURALI ZAMUNER 2026
Ciclo di serate culturali 2026
Programma
•
Martedì 24 Marzo ORE 19.00 / Dr. Marco Ronda
“Trattamento dei difetti ossei combinati del mascellare superiore posteriore (seno e cresta)”
•
Sabato 18 Aprile ore 9-18 (giornata) / Dr.ssa Francesca Vailati
“3 STEP PROTESI ADDITIVA”
•
Martedì 12 Maggio ORE 20.00 / Prof. Giulio Rasperini
“Implantologia nel paziente paradontale: utilizzo delle superfici implantari”
•
Martedì 09 Giugno ORE 20.00 / Dr. Sandro Prati
“Guida veloce ai disordini cranio mandibolari”
•
Martedì 07 Luglio ORE 20.00 / Dr. Alessio Acquadro
“Protocolli clinici per la stampa 3D in studio odontoiatrico tra protesi fissa e rimovibile”
•
Martedì 08 Settembre ORE 20.00 / Dr. Giovanni Sammarco
“La lesione cariosa e la remineralizzazione”
•
Martedì 13 Ottobre ORE 20.00 / Dr. Mario Allegri
“Estetica e funzione nella progettazione occlusale”
•
Martedì 10 Novembre ORE 20.00 / Dr. Andrea Borgonovo
“Implantologia ceramica: vent’anni di Follow-up tra innovazione, ricerca e risultati clinici”
•
Martedì 01 Dicembre ORE 20.00 /Dr. Di Girolamo Filippo Giorgio
“Terapia antibiotica e antinfiammatoria nel paziente odontoiatrico; conoscere per saper gestire”
Richiedi informazioni su WhatsApp
ASO - AGGIORNAMENTO OBBLIGATORIO 10 ORE - 2026
ASO - Aggiornamento obbligatorio 10 Ore per l'anno 2026
Ruolo dell’ ASO in ambito chirurgico.
Conoscere le procedure chirurgiche odontoiatriche di base.
Saper allestire e mantenere un campo operatorio sterile.
Gestire in modo sicuro strumenti e materiali chirurgici.
Collaborare efficacemente con l’odontoiatra durante l’intervento.
Fornire assistenza e supporto psicologico al paziente.
Modalità:
Lezione frontale
+ sessione pratica dimostrativa.
Data: 11 Aprile 2026
Sede del corso: Hotel Crowne Plaza Padova
Relatori: Ivone Favaretto - Aldo Zupi - Nevila Bako
Non lasciare nulla al caso.
Complicanze e insuccessi in chirurgia orale.
“L’altra faccia dei successi”
Relatori: Dr. Riccardo Stefani - Dr. Aldo Zupi
Non lasciare nulla al caso.
Complicanze e insuccessi in chirurgia orale.
“L’altra faccia dei successi” 9 ECM
Obiettivi del corso
Riconoscere e prevenire le principali complicanze in chirurgia orale implanto protesica e mucogengivale.
Comprendere le cause biologiche, tecniche e iatrogene degli insuccessi.
Gestire correttamente le complicanze intra- e post-operatorie.
Ottimizzare la prognosi e la soddisfazione del paziente.
Data: 11 Aprile 2026
Sede del corso: Hotel Crowne Plaza Padova
Relatori: Dr. Riccardo Stefani - Dr. Aldo Zupi
APPROPRIATEZZA CLINICA PER UNA PARODONTOLOGIA MININVASIVA
Relatore: Dott.ssa Erika Tomba
APPROPRIATEZZA CLINICA PER UNA PARODONTOLOGIA MININVASIVA
PROGRAMMA:
In un contesto complesso di modernità clinica, saper scegliere terapie, strumentario e tecniche orientate al rispetto del paziente può fare la differenza.
Analizzeremo approcci semplici e predicibili che permettono una gestione snella ed efficace del paziente e dell’attività clinica. Durante l’incontro i punti salienti saranno:
• Appropriatezza clinica Nuova classificazione parodondale
. Linee guida internazionali Protocolli operativi
• Mininvasività in TPNC Gestione del biofilm batterico Strumentazione mirata e selettiva
• Terapia parodontale non chirurgica Schema operativo e terapia di supporto
• Malattie implantari Gestione non chirurgica e terapia di supporto
• Parte pratica Conoscenza ed utilizzo dei macchinari woodpecker Tecnica Air e Perio polishing La gestione delle tasche Protocollo ABC
DATA: 28 MARZO 2026
SEDE: Baranzate MI
Relatore:
Dott.sa Erika Tomba
Richiedi informazioni su WhatsApp
3 STEP PROTESI ADDITIVA
Dr.ssa Francesca Vailati
3 STEP PROTESI ADDITIVA
PROGRAMMA:
L’usura dentale rappresenta una situazione clinica, spesso sottovalutata e non correttamente trattata, ma in costante crescita, che coinvolge una fascia di popolazione sempre più giovane.
Nel corso di questa giornata sarà analizzato il razionale alla base della tecnica, una procedura strutturata che consente di ottenere risultati altamente prevedibili, la minima (o assente) preparazione dentale e il massimo livello di accettazione da parte del paziente, ponendolo anche a confronto con le tradizionali terapie di tipo sottrattivo.
Si parlerà dell’importanza di una corretta diagnosi medica dell’origine del danno per una corretta pianificazione terapeutica.
Saranno presentati, attraverso l’analisi di vari casi clinici e del loro follow up, tutti gli aspetti, sia clinici che tecnici (con una descrizione dettagliata delle fasi di laboratorio), necessari per pianificare ed eseguire correttamente, anche con l’importante ausilio delle tecnologie digitali, questo tipo di trattamento riabilitativo.
DATA: 18 Aprile 2026
SEDE: Villa Fiorita Monastier di Treviso TV
Relatore: Dott.sa Francesca Vailati
Organizzatore: Zamuner Centro Corsi
Richiedi informazioni su WhatsApp
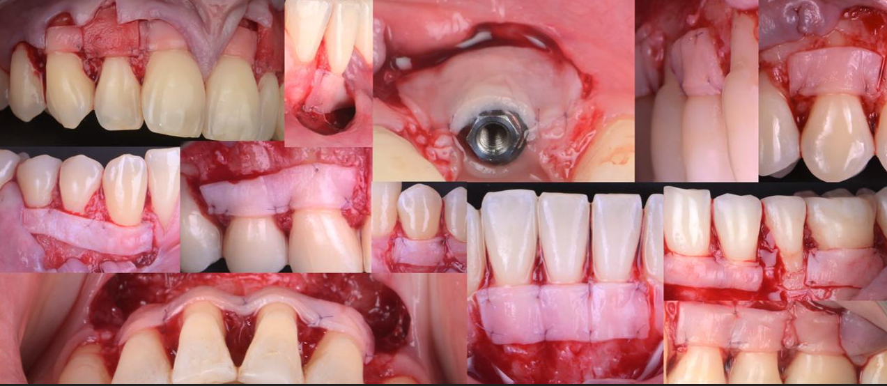
CORSO DI CHIRURGIA MUCOGENGIVALE
NUOVA EDIZIONE 2026
15° Edizione
Corso di chirurgia Mucogengivale - 15° Edizione - 2026
La chirurgia mucogengivale è da considerarsi non solo fondamentale per risolvere i disestetismi legati alle recessioni gengivali, ma parte integrante nei trattamenti restaurativi e protesici di tutti i giorni. L’osservazione dello stato dei tessuti molli e duri è un passaggio fondamentale nel processo diagnostico per predeterminare il livello di ricopertura radicolare ottenibile ed evitare gli insuccessi.
Venerdì 25 Settembre 2026
Sabato 26 Settembre 2026
Venerdì 16 Ottobre 2026
Sabato 17 Ottobre 2026
Sabato 07 Novembre 2026
Relatore: Dr. Riccardo Stefani
Sede del Corso: Hotel Le Terrazze - Villorba TV
DIGITAL SMART DENTIST
2° Edizione Veneto 2026
Digital Smart Dentist
LE BASI DEL DIGITALE
Protocolli di scansione dall’elemento singolo all’all on x
Scansione facciale - paziente full digital
PARTE PRATICA
MATCHING POST SCANSIONE
Segmentazioni tac e matching con paziente digitale
Dima PERIO GUIDE / Principi di progettazione implantare computer guidata
PARTE PRATICA
Venerdi 23 Ottobre 2026
Sabato 24 Ottobre 2026
Relatori: Dr. Andrea Marziali - Dr. Riccardo Stefani
Sede del Corso: Hotel Le Terrazze - Villorba TV
4 POSTI DISPONIBILI
Corso teorico pratico su paziente di chirurgia parodontale non chirurgica per Igienisti Dentali
Relatori:
Dr.ssa Grazieli Dalmaschio
Dr. Maurizio De Francesco
Data: Sabato 14 Novembre 2026
La parodontologia non chirurgica rappresenta il primo e fondamentale approccio nella gestione delle patologie parodontali.
Questo corso è stato progettato specificamente per igienisti dentali con l’obiettivo di approfondire le conoscenze teoriche e pratiche necessarie alla diagnosi, prevenzione e trattamento delle malattie parodontali in fase iniziale e moderata, senza ricorrere a interventi chirurgici.
Attraverso lezioni frontali, sessioni pratiche e discussione di casi clinici, i partecipanti acquisiranno competenze nell’uso di strumenti manuali e ultrasonici per il debridement radicolare, nell'identificazione dei segni clinici di infiammazione parodontale, nell'utilizzo delle tecnologie di supporto (come la diagnostica ), e nella gestione personalizzata del paziente, con particolare attenzione alla motivazione e all’educazione all’igiene orale.
Il corso si propone inoltre di rafforzare il ruolo centrale dell’igienista dentale nel team odontoiatrico, promuovendo un approccio basato sull’evidenza scientifica, la prevenzione e il mantenimento a lungo termine della salute parodontale con le tecniche ABC e Ozono Profilassi
Data: Sabato 14 Novembre 2026
Sede del corso: Studio 32 Sensi - Treviso
Relatori: Dr.ssa Grazieli Dalmaschio
Dr. Maurizio De Francesco
TUTORING PROJECT
Tutoring Project
Trattasi di giornate formative e di perfezionamento in Chirurgia Orale
svolta presso lo studio del Tutor, o presso il Tuo studio, con la possibilità di apprendere tecniche innovative e predicibili su vari temi della chirurgia e della protesi.
Di fronte alla sempre più ricca offerta culturale di eventi e corsi riguardanti le varie tecniche chirurgiche, mancano spesso dei format dove i partecipanti siano accompagnati per mano ad eseguire procedure operative considerate complesse.
Un vero Tutoring Project rappresenta forse l'unico strumento didattico in grado di sviluppare rapidamente la curva di apprendimento dei partecipanti.
Durante i Tutoring i partecipanti assisteranno il Tutor step by step durante
tutte le fasi dell’intervento.
I Nostri One To One
PERCHE' SCEGLIERE I NOSTRI CORSI
Webinar e corsi On Line
Relatori i fama nazionale e internazionale
Alti contenuti formativi
Corsi in presenza teorici e pratici con ECM




