Corso di chirurgia Mucogengivale
Quattordicesima edizione - Anno 2026
Relatore: Dr. Riccardo Stefani
Abstract
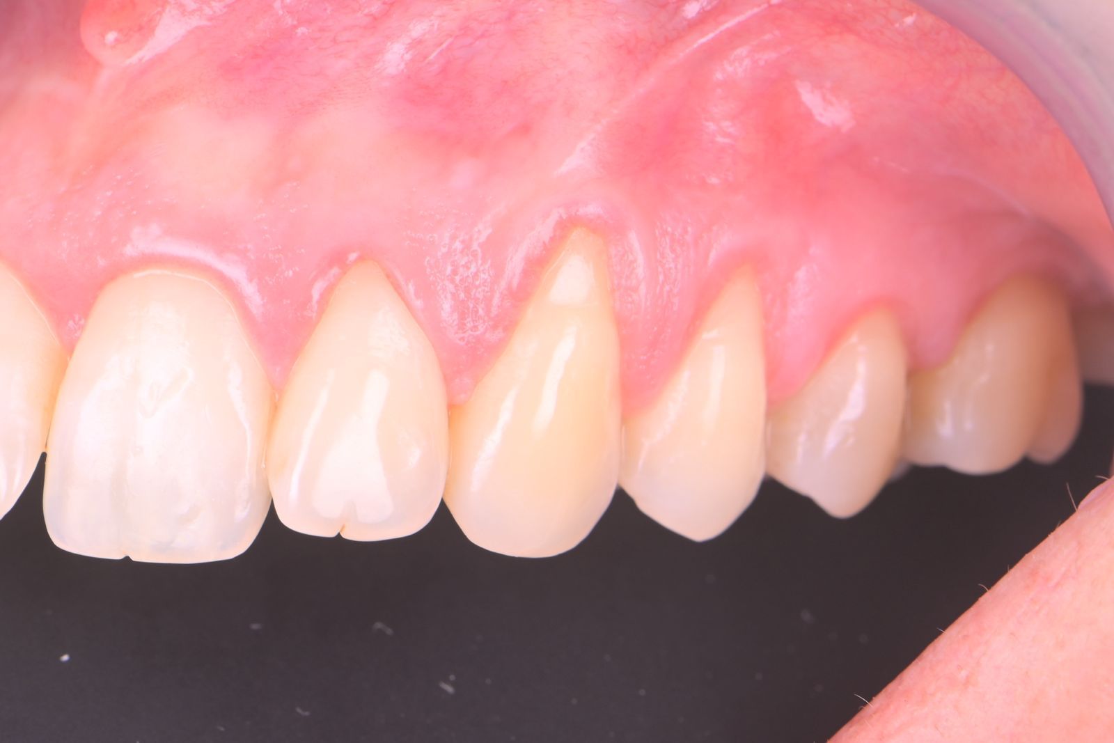
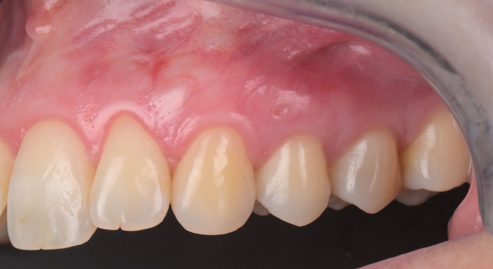
La chirurgia mucogengivale è da considerarsi non solo fondamentale per risolvere i disestetismi legati alle recessioni gengivali, ma parte integrante nei trattamenti restaurativi e protesici di tutti i giorni.
L’osservazione dello stato dei tessuti molli e duri è un passaggio fondamentale nel processo diagnostico per predeterminare il livello di ricopertura radicolare ottenibile ed evitare gli insuccessi.
Il corso è articolato in 5 incontri di una giornata durante le quali verranno trattati tutti gli argomenti per fornire un aggiornamento teorico e pratico completo sulla tematica in continua evoluzione della chirurgia muco-gengivale e ricostruttiva attorno a denti ed impianti e dall’altro a consentire un percorso didattico operativo che possa condurre all’applicazione nella pratica clinica delle metodiche apprese.
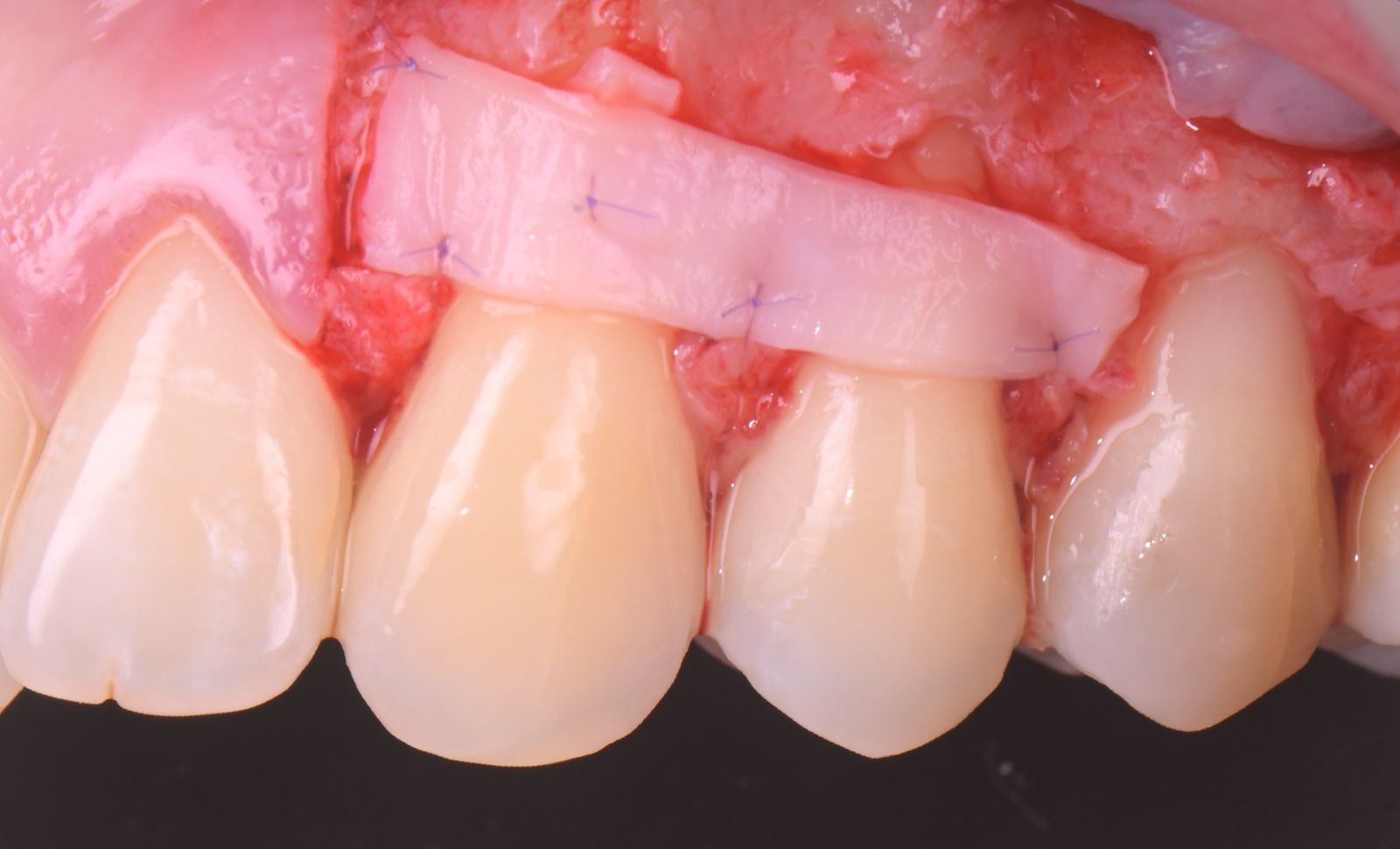
L’elevato contenuto pratico del corso si svilupperà attraverso la simulazione della tecnica chirurgica su modelli didattici, dimostrazioni video, presentazioni fotografiche di casi trattati ed infine con chirurgie live su paziente eseguite dal relatore con riprese al microscopio operatorio.
I partecipanti del corso avranno poi la possibilità di affiancare il relatore durante le chirurgie con dei tutoring.
Programma
Il corso è articolato in 5 incontri di una giornata per un totale di 40 ore e verranno trattate tutte le tecniche di Chirurgia Mucogengivale.
TECNICHE INNESTO GENGIVALE
LEMBO TRAPEZOIDALE
LEMBO TRIANGOLARE
LEMBO SPOSTATO LATERALMENTE
TECNICHE IN DUE FASI APPROCCIO LATERALE APPROCCIO FRONTALE
TECNICA DELLA PIATTAFORMA CONNETTIVALE
Il corso è in fase di accreditamento ECM
50 punti ECM in FAD
DURANTE TUTTO IL CORSO IL DR. STEFANI CONDIVIDERA', IN ZOOM, TUTTE LE CHIRURGIE
CHE ESEGUIRA' NEL SUO STUDIO.
PER CHI NON POTESSE PARTECIPARE AI WEBINAR ZOOM, RICEVERA'
LE REGISTRAZIONI DELLE CHIRURGIE
Incontro
Venerdì 06 Febbraio 2026
• CENNI ANATOMICI
• EZIOPATOGENESI DELLE RECESSIONI
• CLEFT: Tipologie e Trattamento
• FATTORI PREDISPONENTI
• CLASSIFICAZIONI
• DIAGNOSI E PROGNOSI DEI DIFETTI MUCOGENGIVALI
• PREVISIONE DEL LIVELLO DI COPERTURA RADICOLARE ESTETICAMENTE GUIDATA
• LESIONI NON CARIOSE DEL COLLETTO:
Classificazione e Trattamento Restaurativo/Parodontale
Incontro
Sabato 07 Febbraio 2026
• TECNICHE CHIRURGICHE :
Recessioni Singole e Recessioni Multiple
• TRATTAMENTO DELLE SELLE EDENTULE
• DISCUSSIONE CASI
Incontro
Sabato 28 Marzo 2026
DISCUSSIONE DI CASI CLINICI ESEGUITI DAL RELATORE DURANTE TUTTA LE DATE DEL CORSO
DIBATTITO SU CASI CLINICI PORTATI E PRESENTATI DAI PARTECIPANTI
Dr. Riccardo Stefani

Curriculum Relatore:
Consegue a maturità scientifica nel 1996.
Si laurea in Odontoiatria e protesi dentaria presso l’università di Padova nel 110/110.
Frequenta il corso di perfezionamento in parodontologia clinica dell’università di Padova dal 2002 al 2004, svolgendo l’attività di tutor dal 2004 al 2016
E’ stato professore a contratto di parodontologia presso l’ateneo patavino dal 2014 al 2016. Nel 2009 frequenta il corso annuale di parodontologia del prof. G.Zucchelli. Nel 2010 consegue il master in “sedazione cosciente ed emergenza in odontoiatria”
Coautore di pubblicazioni scientifiche in campo protesico e parodontale
È relatore a corsi in tema di protesi, parodontologia e fotografia.
Esercita l ’attività libero professionale occupandosi principalmente di parodontologia, implantologia e protesi.
Segui il Dr. Riccardo Stefani su Istagram
dott.riccardo_stefani
Informazioni generale sul corso:
> > >
Sede:
UNAHOTELS Le Terrazze
Hotel & Residence
V. Roma, 72/A-B
31020 Villorba TV
Quota di partecipazione:
Euro 2.250,00+IVA
ECM - 50 in Fad
Acconto all'iscrizione: 400,00+IVA
Saldo 30gg prima dell'inizio corso.
Data Saldo 06 Gennaio 2026
Sponsor:



Sede del corso e convenzioni camere:
Sede del Corso:
UNAHOTELS Le Terrazze
Hotel & Residence
V. Roma, 72/A-B
31020 Villorba TV
Telefono: 0422 912003
Convenzioni per il pernottamento presso l'Hotel:
Tipologia BUSINESS ROOM ( 22 mq ):
accoglienti e luminose sono arredate in stile moderno, con balconcino e vista sulla corte interna, l'ambiente ideale e riposante per chi viaggia per lavoro.
Euro 85,00 per camera Business matrimoniale uso singola
Euro 104,00 per camera Business matrimoniale per due persone
Tipologia RELAX ROOM ( 32 mq ):
camere di design con letti King Size, terrazza panoramica, offrono uno scenario distensivo sulla campagna veneta attraversata dal corso d'acqua della Piavesella.
Euro 95,00 per camera Relax matrimoniale uso singola
Euro 114,00 per camera Relax matrimoniale/doppia con letti separati per due persone
Le tariffe delle camere sono comprensive di Iva al 10% e includono pernottamento e colazione a buffet, wifi, acqua dal frigobar, ingresso palestra, utilizzo posto auto garage.
City tax: 1,80€ per persona, al giorno
Richiedi Informazioni sul corso
Richiedici ulteriori informazioni sul corso.
Compila il form qui sotto.
Contattaci
- INFORMATIVA SULLA PRIVACY
- I dati forniti verranno utilizzati ai sensi dell'art. 13 e art. 14 GDPR 679/2016 (Regolamento Europeo sula Trattamento dei dati ), e successive norme nazionali di adeguamento al GDPR anche tramite soggetti esterni, al fine di permettere l'espletamento degli adempimenti informativi della presente comunicazione. Copia integrale dell’informativa potrà essere visionata presso le nostre sedi. Per non ricevere più comunicazioni di natura commerciale e newsletter sarà sufficiente scrivere in qualsiasi momento una e-mail all’indirizzo mail chinellatosas@gmail.com con oggetto “cancellazione”.
Iscriviti al corso
Compilando il form qui sotto ti iscriverai al corso:
Contattaci
- INFORMATIVA SULLA PRIVACY
- I dati forniti verranno utilizzati ai sensi dell'art. 13 e art. 14 GDPR 679/2016 (Regolamento Europeo sula Trattamento dei dati ), e successive norme nazionali di adeguamento al GDPR anche tramite soggetti esterni, al fine di permettere l'espletamento degli adempimenti informativi della presente comunicazione. Copia integrale dell’informativa potrà essere visionata presso le nostre sedi. Per non ricevere più comunicazioni di natura commerciale e newsletter sarà sufficiente scrivere in qualsiasi momento una e-mail all’indirizzo mail chinellatosas@gmail.com con oggetto “cancellazione”.









