Compila i campi sottostanti
Riceverai in omaggio il video:
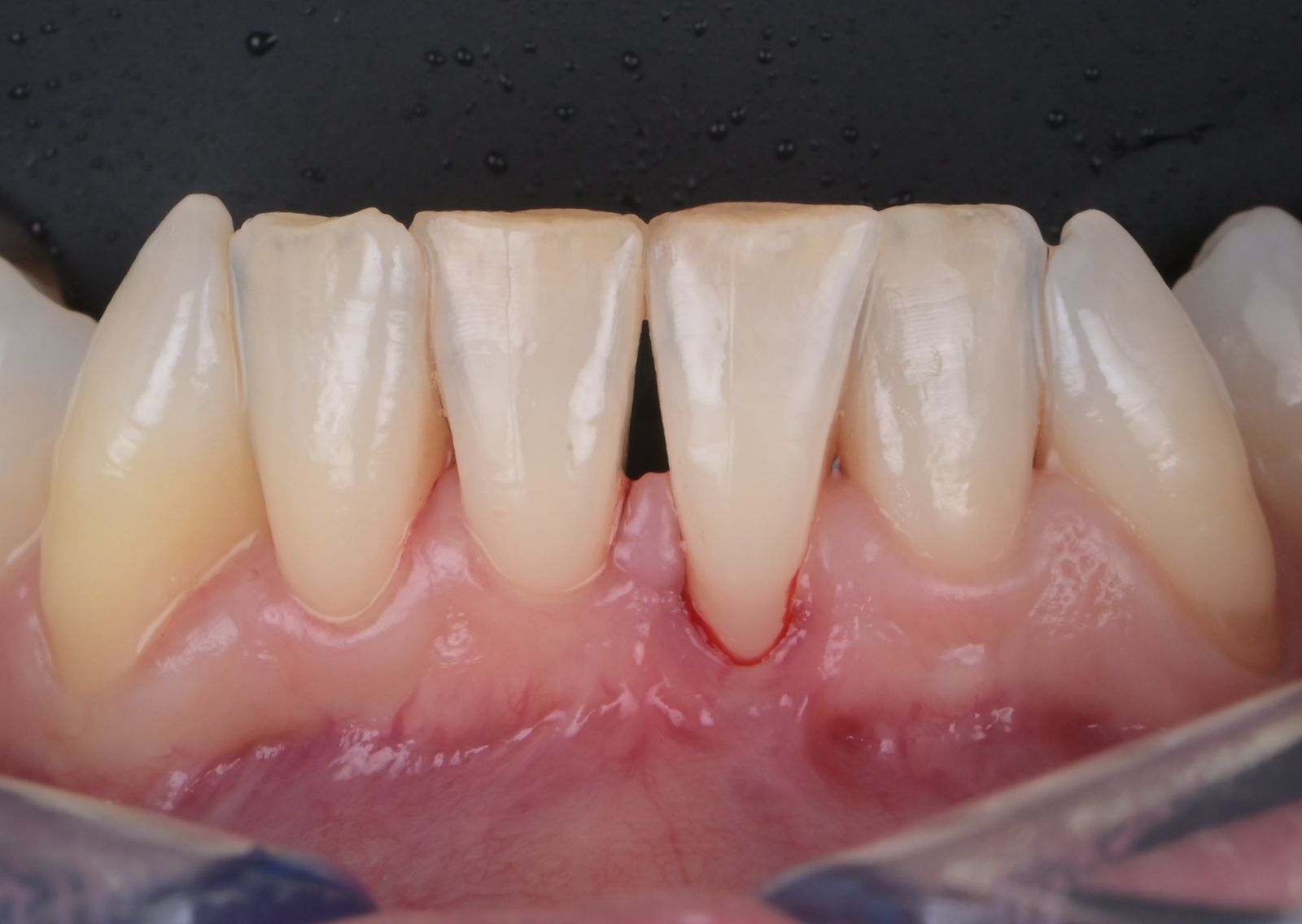
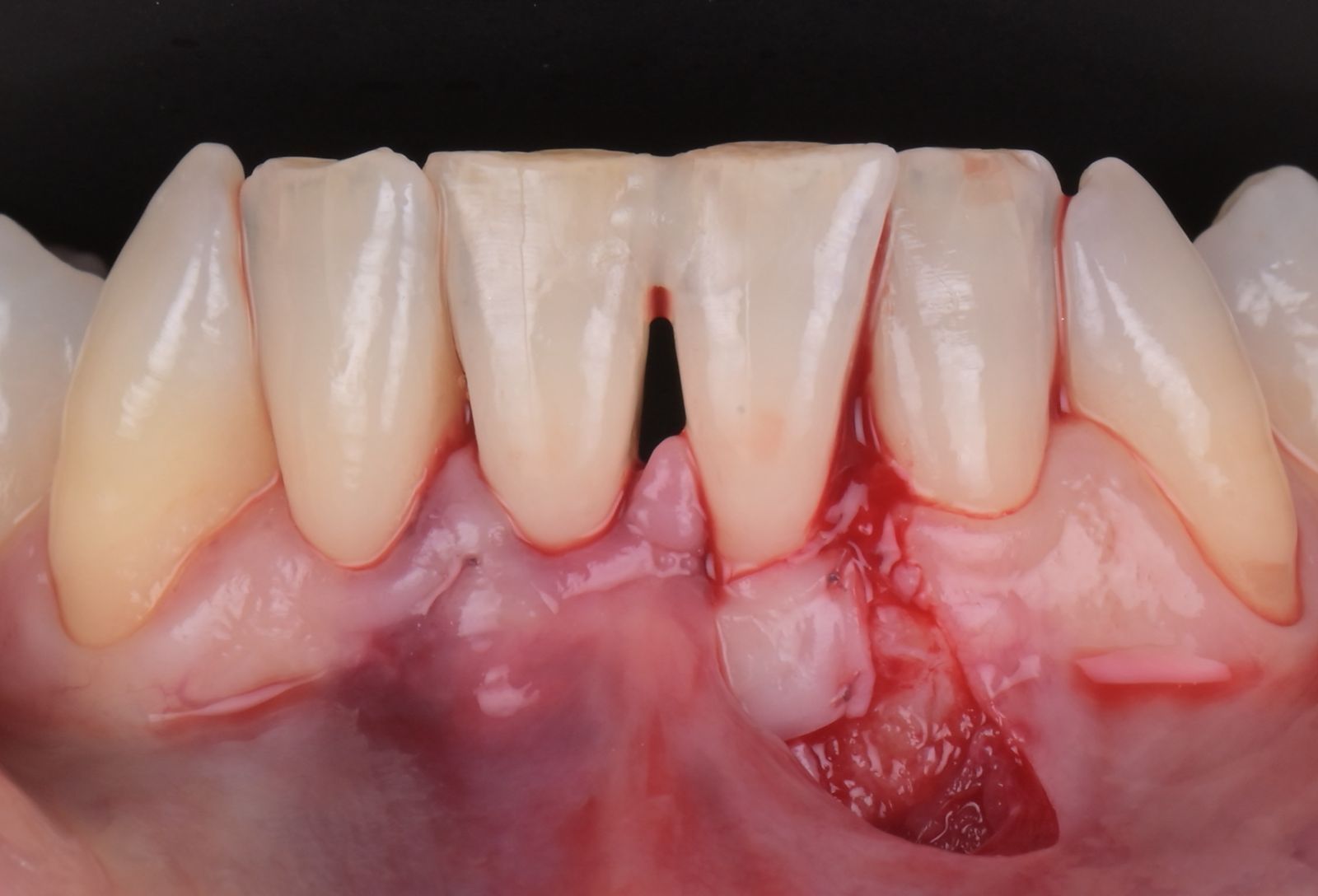
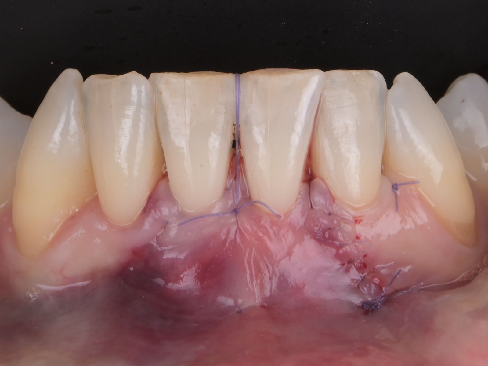
Tecnica TCaf - Tunneled Coronally Advanced
Flap Technique.
Dr. Stefani Riccardo
Inviaci la tua richiesta
Contattaci
+39 346 7929562
Chinellato Sas di Chinellato Luciano & C.
Via Isola di Pago 22
31030 Carbonera TV
Italy



